血管严重扭曲 - 瑞州医院心血管内科为七旬老人“穿针引线”打通生命通道

2026-03-09 09:59:49

   近日,瑞州医院心血管内科介入团队成功为一位血管严重扭曲的高龄患者,实施了一例高难度的特殊入路冠状动脉造影及介入治疗。面对术中突发的血管解剖变异,团队凭借丰富的经验与沉稳的操作,最终突破“弯路”、开通闭塞血管,为患者重塑生命通道。

图片


      78岁的患者雷某,带着6年余的高血压病史,因“反复胸痛4天,间断性发作的压榨性疼痛加重2小时”急诊入院。接诊后医院立即启动胸痛中心绿色通道,实行“先救治、后付费”,迅速将其转入心内科。经团队全面评估,决定行冠状动脉造影明确病情。


图片
图片
图片

      介入术中发现,在常规右侧桡动脉入路时,发现患者的桡动脉、肱动脉、锁骨下动脉血管严重扭曲,仿佛是一条蜿蜒曲折、布满荆棘的山路,导丝难以通过,手术一度受阻。关键时刻,介入团队冷静应对,主治医师罗科伟凭借娴熟技术与对血管结构的精确把握,耐心调整导丝方向,最终顺利将其送至主动脉根部,成功完成造影。


图片
图片

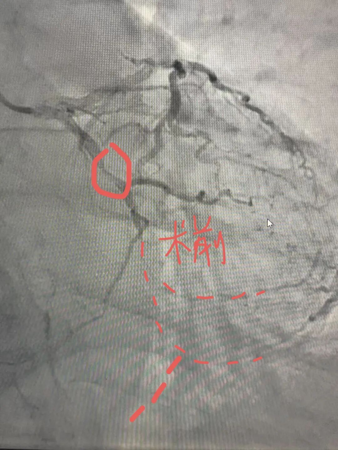
      结果显示,患者回旋支严重狭窄,远段完全闭塞,心肌供血严重不足。团队随即决定在病变处施行药物球囊扩张联合药物洗脱支架植入术。经过精细操作,血管狭窄解除,血流恢复通畅。术后患者胸痛症状明显缓解,恢复良好。


       此次手术的成功,不仅体现了我院心血管内科介入团队处理复杂病例的技术实力,也彰显了多环节协作与应急决策的重要价值。科室将持续推进介入技术创新与人文服务融合,为更多心血管病患者提供可靠、温暖的医疗保障。